AVISO COFEPRIS: 2507012002A00851 Céd. Prof. 7669681, UNICACH
Calle Río Agua Azul 750 entre Av.Los Amates y av. Herradura. Col. Albania Alta, Tuxtla Gutiérrez Chiapas

Dr. Ruvisel Ordoñez Sanchez

Somos un consultorio donde nuestra prioridad es tu salud bucal, contamos con 15 años de experiencia.

DENTAL AZUL

Servicios de Especialidad

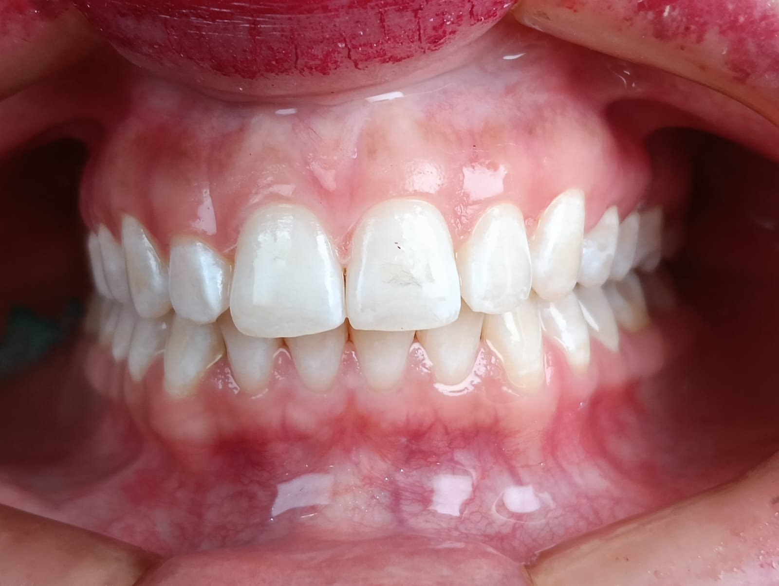
Atención dental y salud bucal

Atención Dental

Transformamos tu salud bucal.

Cuidado dental

Una correcta higiene previene el desarrollo excesivo de placa bacteriana, la halitosis (mal aliento), caries, gingivitis y periodontitis

Odontología Preventiva

Limpiezas ultrasónicas y diagnósticos preventivos para mantener tu salud oral.

Nuestra Filosofía

Compromiso con tu salud dental

Más que un consultorio, un aliado para tu sonrisa

Visión

Brindar servicios odontológicos integrales con altos estándares de calidad, ética y profesionalismo, enfocados en la prevención, diagnóstico y tratamiento de la salud bucal. Nos comprometemos a ofrecer atención personalizada en un ambiente seguro, cómodo y con tecnología moderna, promoviendo el bienestar y la confianza de nuestros pacientes.

Misión

Proporcionar atención odontológica integral y personalizada, basada en la ética profesional y la evidencia científica.

  • Responsabilidad cumplir con los tratamientos, horarios y cuidados necesarios para la salud del paciente.
  • Honestidad explicar al paciente su diagnóstico así como el tratamiento de manera clara y sincera.

Valores

Honestidad
Profesionalismo
Confianza
Responsabilidad

Conoce nuestro trabajo en acción

Video sin sonido (demo)

Estamos Cerca de Ti

Visítanos en nuestras instalaciones de vanguardia.

Dirección

Calle Río Agua Azul 750 entre Av.Los Amates y av. Herradura. Col. Albania Alta, Tuxtla Gutiérrez Chiapas

Línea Directa

961 194 6613

Email

spix111@hotmail.com

Horarios

Lunes a Viernes de 9:00 AM a 2:00 PM y de 4pm a 8:00 PM , Sábados: 9:00 AM - 2:00 PM